来源:起点新闻 时间:2025-12-04 09:35:50 编辑:王莉文 版权声明
“停!”超声医生的探头在患者的腹部停住,屏住了呼吸......
屏幕上,子宫内空空如也,但就在肝脏的边缘,一个清晰的小生命正在有力地搏动!
胎儿,竟然在妈妈的肝脏上“安了家”!这惊心动魄的一幕,近日真实发生在西安市人民医院(西安市第四医院)。
01
腹部不适求医,孕囊“不知所踪”
40岁的王女士(化名)很紧张:“我停经五十几天了,在外院抽血检查显示怀孕,但超声提示子宫及输卵管内尚未检查出孕囊,仅提示右侧附件区存在包块,医生高度怀疑为输卵管妊娠。”
医生仔细扫查发现:
子宫内未见明显孕囊,右侧卵巢内小囊肿,双侧附件区未看见其他包块。通常,人绒毛膜促性腺激素(HCG)达到1000~2000mIU/ml左右就能看到孕囊,但王女士的HCG水平上升到9000mIU/ml时,超声却没有提示宫内孕囊。理论上来说即使真的宫外孕,包块应该很大、很明显,一眼就能找到才对啊?


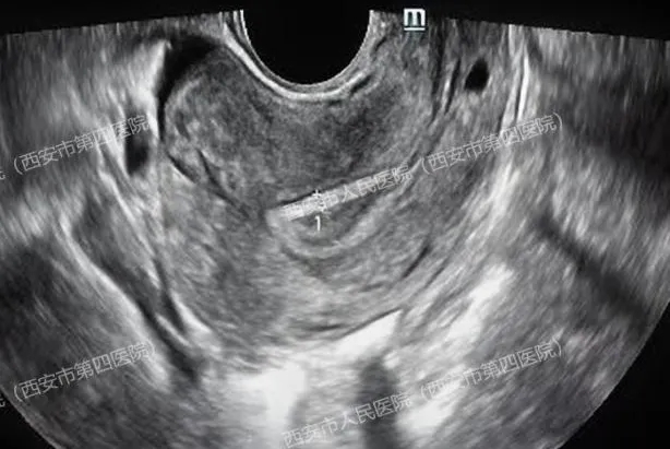
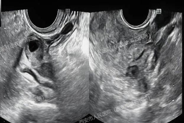
(上图腔内超声显示宫腔内未见孕囊,下图显示右侧卵巢小囊肿)
医生觉得疑惑,耐心安抚患者的同时又全面细致的沿子宫周围及上方扩展了扫查范围,当扫查到肝脏时,顿时惊呆了......胎儿竟然长在了肝脏上!!!
胎心搏动强劲有力,胎盘雏形也已形成,测量的顶臀径约36mm,估算的孕周近11周了!


(肝右叶有一个47x35mm的囊实性占位,附件区包块影像显示为卵巢巧克力样囊肿,并非妊娠囊)
确诊
这是一例极其罕见的“肝脏妊娠”
肝脏妊娠的诊断需满足最为严格的标准:子宫内无妊娠囊、宫颈管内无妊娠物、双侧输卵管及卵巢正常,以及明确的腹腔内异位妊娠证据。
医院超声医学部与放射科通过高分辨率超声及上下腹部核磁共振(MRI)检查,结合患者血清HCG水平的动态变化,最终排除了子宫及附件妊娠,为后续治疗指明了方向。
这一发现,瞬间将病例的罕见程度和风险等级提升至顶峰。
02
生命“错误扎根”,危险一触即发!
正常情况下,受精卵应着床于子宫腔内,特殊情况下,受精卵种植在子宫体部以外部位,即为异位妊娠,发生率约1.5%~2.0%。
原发性肝脏妊娠,文献报道发病率约为子宫妊娠的1:15000。目前可查的全球文献报道不超过50例,因此本病例更是非常罕见!

这里绝非生命的温床。肝脏是人体重要的代谢和造血器官,血供极其丰富,如同一个巨大的“血窦”。
根据报道,肝脏妊娠孕妇的病死率为输卵管妊娠的7.7倍,宫内妊娠的90倍。如果前期没有被发现,随着胚胎生长,后期肝脏妊娠几乎无一例外会发生破裂,引发瞬间的、致命性的大出血,母亲的生命危在旦夕!
03
多学科联手,“刀尖上”完成精准切除
肝脏手术本身风险极高,加之妊娠组织血供异常丰富,手术犹如在“雷区”排雷,稍有不慎便会引发难以控制的大出血。
医院立即启动多学科协作(MDT)机制。妇科、肝胆外科、麻醉科、输血科、影像科的专家们迅速集结,最终确定了当前最彻底、最安全的选择,能够完整移除病灶,并有效控制出血风险的方案:开腹进行肝部分切除术。一场生命保卫战在手术室内无声打响。
肝胆外科为肝区域探查、可能的肝脏妊娠清除及肝切除、修补等提供专业建议;
输血科为可能的大出血做好输血调配工作;
麻醉团队为患者建立了坚实的生命保障通道。

最终,成功将包含孕囊的肝组织完整切除,同时最大限度地保留了正常肝组织,术中出血得到有效控制。
术后,王女士在医护人员的精心照料下恢复良好,已顺利出院。
Q
为什么胚胎会“跑到”肝脏上?
A
具体机制尚不明确清楚,文献报道可能与盆腔炎症、腹腔手术及宫内节育器放置相关,有学者推测受精卵随输卵管逆蠕动排到腹腔,被腹膜吸收前,随肠管顺时针蠕动上移种植于肝脏表面导致。
受重力影响,受精卵多种植于腹腔内偏低部位,仰卧位时,肝右叶下表面相当于腹腔最低平面,便于附着,且肝包膜、肝实质血供丰富,利于胚胎的生长发育,因此,肝脏异位妊娠多出现在肝脏右叶下表面。
相关热词搜索: